강동 정형외과 어깨 통증 치료, 회전근개증후군 수술 없이 잡는 법
페이지 정보
서울건우 0 Comments 96 Views 26-04-09 12:34본문
1. 중년 어깨 건강의 적, 회전근개증후군

나이가 들면서 팔을 들어 올릴 때 찌르는 듯한 통증이 느껴지시나요? "나이 탓이겠거니" 하고 넘기기 쉽지만, 중년 이후 반복되는 어깨 통증은 단순 근육통이 아닌 회전근개증후군]일 가능성이 매우 높습니다.
2. 회전근개란 무엇인가요?

어깨 관절을 감싸고 있는 4개의 근육(극상근, 극하근, 소원근, 견갑하근)과 힘줄을 말합니다.
1️⃣ 팔을 들어 올리고 회전시키는 부드러운 동작을 가능하게 합니다.
2️⃣ 어깨 관절이 어긋나지 않도록 중심을 잡아주는 핵심 안정화 구조입니다.
3️⃣ 퇴행성 변화나 반복적인 사용으로 인해 힘줄이 약해지기 쉬운 부위입니다.
3. 회전근개증후군 vs 오십견 차이점은? ⚖️
구분 | 회전근개증후군 | 오십견 (유착성 관절낭염) |
통증 양상 | 특정 각도에서 통증 심함 | 어깨 전체가 굳고 모든 방향 통증 |
팔 운동 | 남이 도와주면 팔이 올라감 | 남이 도와줘도 팔이 안 올라감 |
근력 저하 | 팔에 힘이 빠지는 느낌 동반 | 통증은 심하나 근력은 유지됨 |
4. 이런 증상이 있다면 의심해 보세요!

단순 피로와는 다른 회전근개만의 위험 신호가 있습니다.
1️⃣ 팔을 옆으로 들거나 머리 위로 올릴 때 통증이 심해진다.
2️⃣ 옷을 입고 벗거나 등 뒤로 손을 뻗는 동작이 어렵다.
3️⃣ 밤에 통증이 심해져 아픈 쪽으로 돌아누워 자기 힘들다.
4️⃣ 팔을 움직일 때 어깨 내부에서 '뚝' 하는 걸리는 느낌이 난다.
5. 회전근개증후군이 생기는 원인

퇴행성 변화: 나이가 들면서 힘줄의 탄력이 떨어지고 혈류 공급이 감소합니다.
과도한 사용: 어깨를 반복적으로 높이 드는 운동이나 업무가 원인이 됩니다.
불량한 자세: 굽은 어깨나 거북목 자세는 어깨 공간을 좁혀 힘줄 충돌을 유발합니다.
급성 외상: 무거운 물건을 갑자기 들거나 넘어지면서 어깨를 짚을 때 발생합니다.
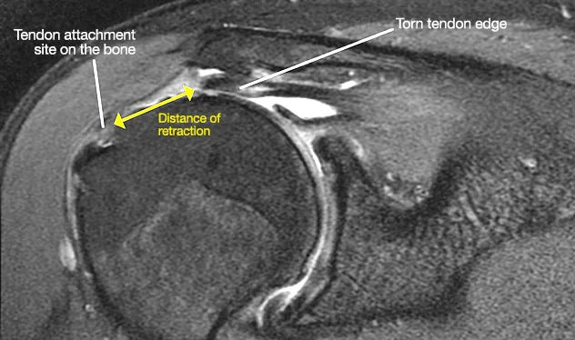
6. 방치하면 '회전근개 파열'로 진행됩니다!

회전근개증후군 단계에서 적절한 치료를 받지 않으면 힘줄이 점차 얇아지다가 결국 끊어지는 파열로 이어집니다.
1️⃣ 부분 파열: 힘줄의 일부가 손상되어 통증과 약화가 시작됩니다.
2️⃣ 완전 파열: 힘줄이 완전히 끊어져 팔을 스스로 들기 어려워집니다.
3️⃣ 이차 질환: 관절염이나 어깨 기능 상실로 이어질 수 있어 조기 진단이 필수입니다.
7. 정밀 진단 시스템을 통해 원인 파악이 중요합니다.
정확한 상태를 파악해야 맞춤형 치료가 가능합니다.
초음파 검사: 힘줄의 파열 유무와 염증 정도를 실시간으로 확인합니다.
이학적 검사: 전문의가 직접 팔의 가동 범위와 근력을 테스트하여 진단합니다.
8. 수술전에 고려해볼 수 있는 비수술적 치료법

초기에는 보존적 치료만으로도 충분히 회복이 가능합니다.
체외충격파: 손상된 조직에 에너지를 전달해 혈류를 개선하고 재생을 돕습니다.
주사 치료: 힘줄 주변의 염증을 빠르게 가라앉혀 통증을 완화합니다.
도수 및 물리치료: 굳어진 어깨 관절을 풀어주고 가동 범위를 회복시킵니다.
9. 집에서 하는 어깨 안정화 스트레칭
진추 운동: 상체를 숙이고 아픈 팔을 아래로 늘어뜨린 뒤 원을 그리듯 가볍게 흔들어줍니다.
벽 밀기 스트레칭: 벽 앞에 서서 양손을 벽에 대고 가슴을 앞으로 지긋이 눌러 어깨 앞쪽을 이완합니다.
밴드 운동: 고무밴드를 활용해 팔을 안팎으로 돌리며 회전근개 근력을 강화합니다.
10. 어깨 건강, 골든타임을 놓치지 마세요! ✨

회전근개증후군은 "아프면 참고 쓰는 관절"이 아닙니다. 통증은 우리 몸이 보내는 SOS 신호입니다. 초기에 적절한 휴식과 치료를 병행한다면 수술 없이도 건강한 어깨를 되찾을 수 있습니다. 강동 정형외과에서 여러분의 어깨 기능을 지켜드리겠습니다.
#강동정형외과 #회전근개증후군 #어깨통증 #어깨힘줄 #어깨통증치료 #어깨병원 #회전근개파열 #오십견 #석회성건염 #어깨비수술치료 #어깨운동 #도수치료 #강동구어깨치료 #고덕역정형외과 #상일동정형외과 #RotatorCuff #ShoulderPain #Impingement #ShoulderRehab #FrozenShoulder
◈서울건우정형외과 진료문의 및 예약상담
TEL : 02-426-9876
◈카톡문의
http://pf.kakao.com/_IxkBqxj/chat
◈네이버예약
댓글목록
등록된 댓글이 없습니다.



