강동구정형외과 무지외반증 증상, 엄지발가락 휨 방치하면 전신 불균형 위험
페이지 정보
서울건우 0 Comments 13 Views 26-04-27 16:15본문
1. 휘어진 엄지발가락, 단순한 미용 문제일까요?

엄지발가락이 점점 바깥쪽으로 휘어지면서 뼈가 돌출되는 무지외반증은 한국인에게 매우 흔한 족부 질환입니다. 하지만 이를 단순한 발 모양의 변화로만 여기고 방치하면 걷는 자세가 무너지고 무릎, 허리 통증까지 유발할 수 있습니다. 강동구정형외과 서울건우에서 무지외반증의 위험 신호를 짚어드립니다.
2. 무지외반증이란 무엇인가요?

무지외반증은 엄지발가락(무지)이 두 번째 발가락 쪽으로 휘어지면서(외반), 엄지발가락 뿌리 부분의 관절이 안쪽으로 돌출되는 변형 질환입니다.
1️⃣ 돌출된 부위가 신발과 마찰하며 염증과 극심한 통증을 일으킵니다.
2️⃣ 발의 정렬이 무너지면서 체중이 발바닥 전체에 고르게 분산되지 못합니다.
3️⃣ 시간이 지날수록 변형 각도가 심해지는 진행성 질환입니다.
3. 무지외반증 진행 단계별 특징

단계 | 증상 및 변형 정도 |
초기 | 변형 각도가 작고 신발을 신을 때만 일시적으로 통증 발생 |
중기 | 외관상 변형이 뚜렷하며, 둘째 발가락 아래에 굳은살이 생기기 시작 |
말기 | 엄지발가락이 둘째 발가락과 겹쳐지며 걷기 힘들 정도로 극심한 통증 |
4. 이런 증상이 있다면 무지외반증입니다!

아래 증상 중 하나라도 해당한다면 강동구정형외과 서울건우에서 정밀 검사가 필요합니다.
1️⃣ 엄지발가락 관절 부위가 툭 튀어나와 붉게 붓고 아프다.
2️⃣ 조금만 걸어도 발 앞쪽이 쉽게 피로해지고 화끈거린다.
3️⃣ 발바닥 앞부분(볼 쪽)에 반복적으로 딱딱한 굳은살이 생긴다.
4️⃣ 두 번째 또는 세 번째 발가락의 발바닥 쪽 통증이 심해진다.
5. 무지외반증이 보행 자세를 망치는 이유

엄지발가락은 보행 시 지면을 박차고 나가는 추진력의 80% 이상을 담당합니다.
1️⃣ 정렬이 틀어지면 엄지발가락에 힘을 싣지 못해 발 외측으로만 걷게 됩니다.
2️⃣ 비정상적인 체중 이동으로 인해 팔자걸음이나 절뚝거리는 보행 자세가 나타납니다.
3️⃣ 이는 곧 발목, 무릎 관절의 과부하로 이어져 퇴행성 관절염의 원인이 됩니다.
6. 왜 한국인에게 무지외반증이 흔할까요?

선천적인 요인과 후천적인 생활 습관이 복합적으로 작용합니다.
1️⃣ 신발 습관: 발볼이 좁고 굽이 높은 하이힐이나 앞코가 뾰족한 구두를 자주 신는 경우
2️⃣ 유전적 요인: 부모님 중 무지외반증이 있다면 자녀에게 나타날 확률이 높습니다.
3️⃣ 발의 구조: 평발이거나 발이 유연한 경우 엄지발가락에 과도한 힘이 실려 변형이 쉽습니다.
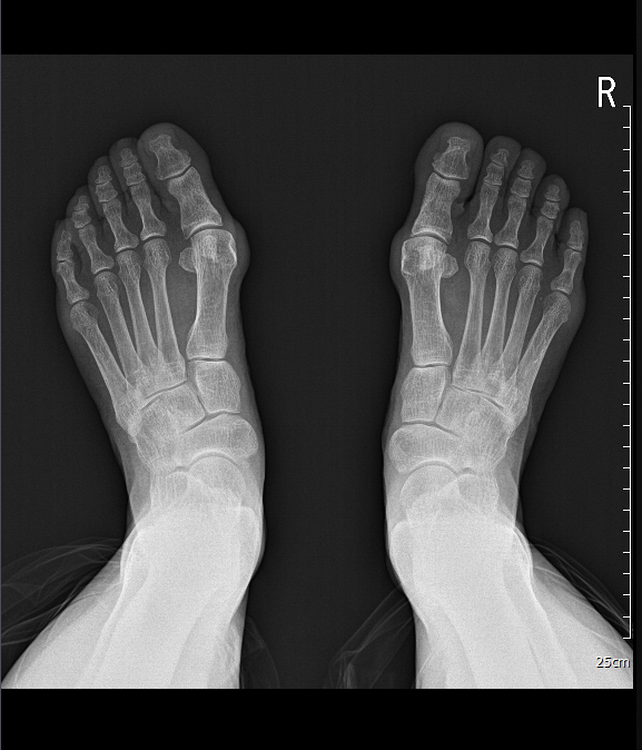
7. 체계적인 진단 과정

정확한 각도와 뼈의 정렬을 확인하는 것이 치료의 첫걸음입니다.
1️⃣ 영상 의학 검사: X-ray를 통해 엄지발가락이 휜 각도(HVA)를 정밀하게 측정합니다.
2️⃣ 신체 검진: 관절의 가동 범위와 동반된 굳은살, 염증 유무를 세밀하게 살핍니다.
3️⃣ 보행 분석: 실제 걷는 모습을 관찰하여 다른 관절에 미치는 영향을 평가합니다.
8. 수술 없이 관리하는 보존적 치료법

변형이 심하지 않은 초기에는 비수술적 요법으로 통증과 진행을 막을 수 있습니다.
1️⃣ 신발 교정: 발볼이 넉넉하고 굽이 낮은 편한 신발로 바꾸는 것이 가장 중요합니다.
2️⃣ 교정용 보조기: 발가락 사이를 벌려주는 실리콘 교정기나 깔창을 통해 압력을 분산합니다.
3️⃣ 소염제 및 물리치료: 튀어나온 관절 부위의 염증과 부종을 조절합니다.
9. 근본적인 해결을 위한 최소침습 수술(MICA)

보존적 치료에도 통증이 계속되거나 변형이 심하다면 수술적 교정이 효과적입니다.
1️⃣ 최소침습 교정술: 미세한 구멍을 통해 뼈를 깎거나 정렬을 바로잡는 최신 수술법입니다.
2️⃣ 장점: 기존 수술에 비해 통증과 흉터가 매우 적고 회복 속도가 빠릅니다.
3️⃣ 빠른 보행: 수술 후 비교적 이른 시기에 보조 신발을 착용하고 보행이 가능합니다.
10. 건강한 첫걸음, 강동구정형외과가 함께합니다
발이 편해야 온몸이 건강해집니다. 무지외반증으로 인한 작은 통증을 참다 보면 나중에는 더 큰 관절 질환으로 번질 수 있습니다. 족부 질환 중점 진료 노하우를 가진 강동구정형외과 서울건우에서 정확한 진단을 받아보세요. 여러분이 다시 가뿐하게 걸을 수 있도록 저희가 정성을 다해 돕겠습니다.
#강동구정형외과 #무지외반증 #무지외반증증상 #발가락통증 #엄지발가락통증 #발가락휘어짐 #발교정 #무지외반증수술 #고덕동정형외과 #상일동정형외과 #명일동정형외과 #강일동정형외과 #천호동정형외과 #족부정형외과 #보행교정 #Bunions #HalluxValgus #FootPain #Orthopedics #FootSurgery
◈서울건우정형외과 진료문의
TEL : 02-426-9876
◈서울건우정형외과 위치
서울특별시 강동구 고덕로 429 팍스에비뉴건물 2층
◈카톡문의
http://pf.kakao.com/_IxkBqxj/chat
◈네이버예약
댓글목록
등록된 댓글이 없습니다.



